Επιστήμονες του King’s College στο Λονδίνο σημείωσαν σημαντική πρόοδο στην καλλιέργεια βιολογικών δοντιών στο εργαστήριο, φέρνοντας πιο κοντά τη μέρα που τα εμφυτεύματα τιτανίου ίσως αντικατασταθούν από πραγματικά, «ζωντανά» δόντια.
Η ερευνητική ομάδα της αναπληρώτριας καθηγήτριας Άνα Αντζελόβα Βολπόνι, διευθύντριας του προγράμματος μεταπτυχιακών σπουδών στην αναγεννητική οδοντιατρική, εργάζεται πάνω στο αντικείμενο σχεδόν δύο δεκαετίες. Το 2013, η Βολπόνι είχε καταφέρει, να δημιουργήσει ένα πειραματικό δόντι, συνδυάζοντας κύτταρα από ανθρώπινα ούλα με κύτταρα ποντικιού, σε μια έρευνα που θεωρείται ορόσημο για την επιστήμη της αναγέννησης ιστών.
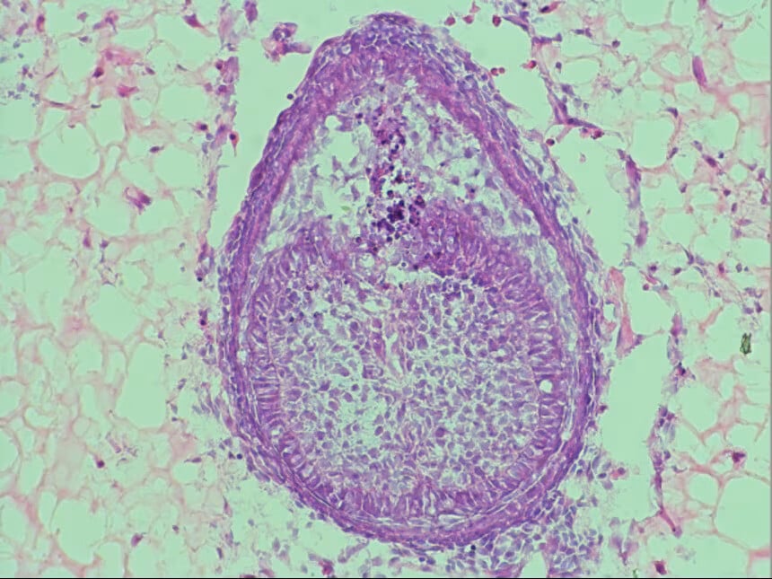
Η νέα της μελέτη βασίζεται σε εκείνη την πρώτη επιτυχία και επικεντρώνεται στο περιβάλλον, μέσα στο οποίο αναπτύσσονται τα κύτταρα. Η ομάδα του King’s ανέπτυξε ένα νέο υλικό, μια λεγόμενη «σκαλωσιά», που προσομοιώνει πιο πιστά το φυσικό περιβάλλον του στόματος. Πρόκειται για ένα είδος ζελατινώδους πολυμερούς με υψηλή περιεκτικότητα σε νερό, γνωστό ως υδρογέλη. Όπως εξηγούν οι ερευνητές, το υλικό αυτό επιτρέπει στα κύτταρα να «επικοινωνούν» καλύτερα μεταξύ τους και να οργανώνονται πιο αποτελεσματικά κατά τη διάρκεια της ανάπτυξης.
Μέσα σε αυτό το περιβάλλον, τα κύτταρα σχηματίζουν μικροσκοπικές δομές, που μοιάζουν με δόντια, ένα σημαντικό βήμα πριν αντικατασταθούν πλήρως τα εμβρυϊκά κύτταρα ποντικιών με ανθρώπινα. Σε προηγούμενες μελέτες, παρόμοιες δομές είχαν μεταμοσχευθεί σε ποντίκια και εξελίχθηκαν σε δόντια με ρίζες και σμάλτο.
Η Βολπόνι περιγράφει δύο πιθανά σενάρια για την κλινική εφαρμογή της τεχνολογίας. Στο πρώτο, ένα δόντι καλλιεργείται μέχρι ένα συγκεκριμένο στάδιο και στη συνέχεια εμφυτεύεται στην οδοντική κοιλότητα, όπου συνεχίζει να αναπτύσσεται φυσικά. Στο δεύτερο, το δόντι καλλιεργείται πλήρως στο εργαστήριο και τοποθετείται χειρουργικά. «Είναι ακόμη νωρίς για να γνωρίζουμε, ποια από τις δύο μεθόδους θα αποδειχθεί πιο αποτελεσματική», σημειώνει.

Ένα δόντι που θα έχει δημιουργηθεί από τα κύτταρα του ίδιου του ασθενούς, δεν θα προκαλεί φλεγμονές ή απόρριψη, ενώ θα ενσωματώνεται φυσικά στους ιστούς του στόματος και θα διατηρεί την αίσθηση ενός κανονικού δοντιού.
Η νέα έρευνα έχει ήδη προσελκύσει το ενδιαφέρον της επιστημονικής κοινότητας. Ο Βίτορ Νέβες, ανώτερος λέκτορας στο Πανεπιστήμιο του Σέφιλντ, σημειώνει, ότι το έργο της Βολπόνι αντιμετωπίζει «έναν από τους πιο κρίσιμους παράγοντες στην ανάπτυξη και τη μελλοντική παραγωγή βιολογικών δοντιών: τη δημιουργία του σωστού υποστρώματος που στηρίζει την ανάπτυξη του ιστού».
Παράλληλα, ανάλογες προσπάθειες γίνονται διεθνώς. Στην Ιαπωνία, η ομάδα του Κάτσου Τακαχάσι δοκιμάζει μια θεραπεία, που ενεργοποιεί την ανάπτυξη δοντιών σε άτομα που γεννιούνται χωρίς οδοντοφυΐα, ενώ στις Ηνωμένες Πολιτείες, ερευνητές του πανεπιστημίου Tufts έχουν καταφέρει, να αναπτύξουν ανθρώπινα δόντια και να χαρτογραφήσουν τον μοριακό μηχανισμό σχηματισμού τους.
«Η πρόοδος είναι ταχύτατη», λέει η καθηγήτρια Χάνελε Ρουόχολα-Μπέικερ από το Πανεπιστήμιο της Ουάσιγκτον. «Η μέρα που θα μπορούμε να επισκευάζουμε ή να αντικαθιστούμε φυσικά δόντια με νέα, καλλιεργημένα από τα ίδια μας τα κύτταρα, δεν είναι τόσο μακριά όσο νομίζουμε».
Με πληροφορίες από CNN